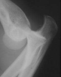
Les luxations du coude : qu’est-ce que c’est ?
C’est une perte de congruence de l’articulation du coude = humérus + radius + ulna. La stabilité du coude repose sur le système ligamentaire le Ligament collatéral médial (LCM), le Ligament collatéral latéral (LCL).
La luxation du coude survient lors de chute sur la main, bras en extension (le plus fréquent). Stress en valgus, rotation forcée lors de choc direct (sport, accident moto). Luxations le plus souvent postéro-latérales.
Diagnostic
Impotence fonctionnelle avec perte de l’alignement épitrochlée-olécrane-épicondyle.
Laxité majeur au bloc : que fait-on ?
Réinsertion sur ancre des ligaments.
Ostéosynthèse des fractures si présente.
Testing en fin d’intervention devant voir la stabilité à 0° d’extension.
Les suites opératoires
Attelle articulée du coude 4 semaines selon avec la possibilité de travailler la flexion extension du coude d’emblée.
La kinésithérapie est à faire impérativement dés J1 pour lutter contre la raideur même avec les fils initialement.
Luxations complexes
Terrible triade du coude associant
Dans ce cas la chirurgie est quasiment toujours nécessaire du fait de l’instabilité du coude.
Il est interdit dans ce contexte de faire une résection de tête radiale : soit ostéosynthèse soit prothèse de tête radiale. Sinon grande instabilité.
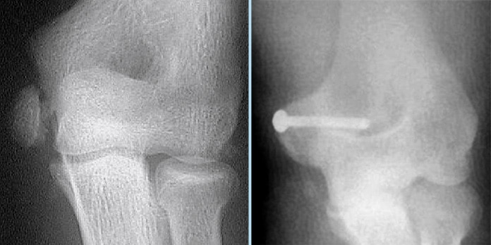
Fracture épitrochlée
Réduction au bloc et ostéosynthèse impérative.
Fracture de l’épicondyle
Dans ce cas, réduction au bloc et ostéosynthèse du fragment.
Luxation trans olécranienne
Dans ce cas, réduction au bloc est ostéosynthèse par plaque verrouillée.












