Qu’est-ce qu’une rupture du biceps distal
La rupture du biceps distal correspond à une déchirure complète du tendon qui fixe le biceps à l’avant-bras, au niveau du tubercule radial, près du coude.
Elle entraîne une perte de force, notamment pour la flexion du coude et surtout pour la supination (mouvement qui permet de tourner la paume vers le haut).
Cette lésion est moins fréquente que les ruptures proximales du biceps (à l’épaule) mais elle est toujours plus sérieuse, car le tendon ne peut pas se cicatriser spontanément.
La rupture du biceps distal survient le plus souvent lors d’un effort brutal, par exemple :
Certains facteurs favorisent la rupture : microtraumatismes répétés, tabagisme, prise de stéroïdes anabolisants, pathologies dégénératives du tendon.
Diagnostic
Les signes caractéristiques sont :
La douleur peut diminuer après quelques jours, mais la perte de force persiste.
L’examen clinique montre une perte de force en supination, un tendon absent à la palpation et la perte de force en supination par rapport au côté opposé.
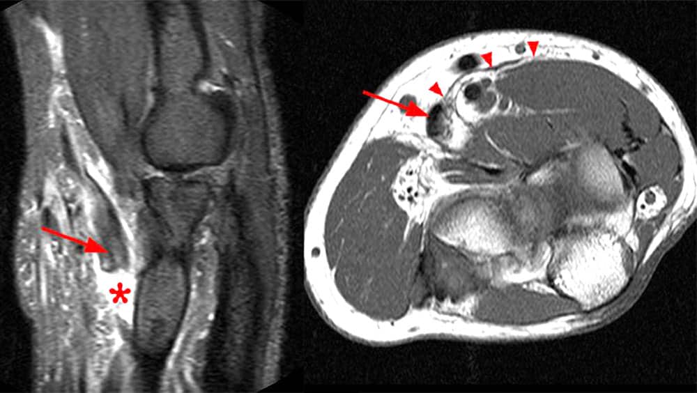
L’échographie ou mieux l’IRM permet de préciser l’étendue de la rétraction et l’état du muscle.
Récupération et pronostic
Le temps de récupération complet est d’environ 3 à 6 mois, selon les personnes et l’activité.
L’opération permet une récupération quasi complète de la force et le retour au sport.
Sans chirurgie, une fatigue précoce du bras et une perte de force peuvent persister durablement.





